Ứng dụng siêu âm đàn hồi mô trong chẩn đoán sớm bệnh lý gan, tuyến giáp, tuyến vú tại Bệnh viện Hoàn Mỹ Đà Nẵng
Nội dung bài viết
Sự phát triển không ngừng của y học hiện đại đã mang đến cơ hội được chẩn đoán và phát hiện sớm nhiều bệnh lý nguy hiểm với phương thức thực hiện đơn giản, không xâm lấn, cho kết quả chính xác, và siêu âm đàn hồi mô là một trong số đó. Kỹ thuật […]
Sự phát triển không ngừng của y học hiện đại đã mang đến cơ hội được chẩn đoán và phát hiện sớm nhiều bệnh lý nguy hiểm với phương thức thực hiện đơn giản, không xâm lấn, cho kết quả chính xác, và siêu âm đàn hồi mô là một trong số đó. Kỹ thuật này thực sự mang lại lợi ích rất lớn cho người bệnh, giúp phân tầng nguy cơ tổn thương một cách chính xác và giảm thiểu chỉ định sinh thiết không cần thiết.

Giới thiệu về siêu âm đàn hồi mô
Siêu âm đàn hồi mô là một kỹ thuật siêu âm hiện đại nhằm đánh giá đặc tính đàn hồi của các mô trong cơ thể. Nếu như siêu âm B mode cho phép khảo sát hình ảnh giải phẫu theo từng mặt cắt, siêu âm Doppler cho phép khảo sát dòng chảy, mức độ tưới máu, phân bố mạch máu trong tổn thương, thì siêu âm đàn hồi mô cho phép khảo sát mức độ cứng của mô. Siêu âm Doppler được coi là bước ngoặt thứ nhất thì siêu âm đàn hồi mô được coi là bước ngoặt thứ hai về tiến bộ trong kỹ thuật siêu âm chẩn đoán. Cả ba loại siêu âm này được tích hợp trên một máy giúp chúng ta nâng độ đặc hiệu của chẩn đoán, giúp thu hẹp chỉ định sinh thiết mà không bỏ sót tổn thương.
Nguyên lý hoạt động của siêu âm đàn hồi mô
Nguyên lý cơ bản của siêu âm đàn hồi mô là khảo sát độ cứng của mô bằng cách đo mức độ biến dạng của mô khi bị tác động một lực, hoặc đo vận tốc sóng biến dạng ngang của mô khi phát xung lực âm vào mô. Độ cứng của mô tỉ lệ nghịch với mức độ biến dạng và tỉ lệ thuận với vận tốc sóng biến dạng ngang
Với kỹ thuật siêu âm đàn hồi sức căng (Strain Elastography), độ cứng của mô được mã hóa bằng bản đồ màu, có tính chất định tính. Ngoài ra có thể tính được một số thông số bán định lượng. Với kỹ thuật siêu âm đàn hồi sóng biến dạng (Shear Wave Elastography) độ cứng của mô được thể hiện bằng các thông số định lượng như vận tốc sóng biến dạng hoặc đô cứng. Ngoài ra kết quả đo còn được thể hiện bằng bản đồ mã hóa màu.
Ứng dụng của siêu âm đàn hồi mô
Hiện nay siêu âm đàn hồi chủ yếu được ứng dụng rộng rãi trong các bệnh lý của gan, u vú, nhân giáp, v.v.

1. Siêu âm đàn hồi mô đánh giá mức độ xơ hóa gan
Mức độ xơ hóa gan là một trong những tiêu chí quan trọng trong việc quyết định điều trị, theo dõi diễn biến và tiên lượng cho người bệnh mắc các bệnh viêm gan mạn tính (do nhiễm virus viêm gan B, viêm gan C, do rượu, viêm gan nhiễm mỡ không do rượu…), xơ gan. Tiêu chuẩn vàng để xác định mức độ xơ hóa gan là sinh thiết gan. Tuy nhiên, nhược điểm của sinh thiết gan là một thủ thuật xâm lấn, gây đau, có thể gây một số biến chứng như chảy máu, khó lặp lại nhiều lần…; Siêu âm đàn hồi mô đã được cơ quan quản lý thực phẩm và thuốc Hoa Kỳ (FDA) thông qua từ năm 2013 như là một phương pháp thay thế sinh thiết gan. Đây là một phương pháp không xâm lấn,, có độ chính xác cao, có thể lặp lại nhiều lần, khắc phục được các nhược điểm của sinh thiết gan.

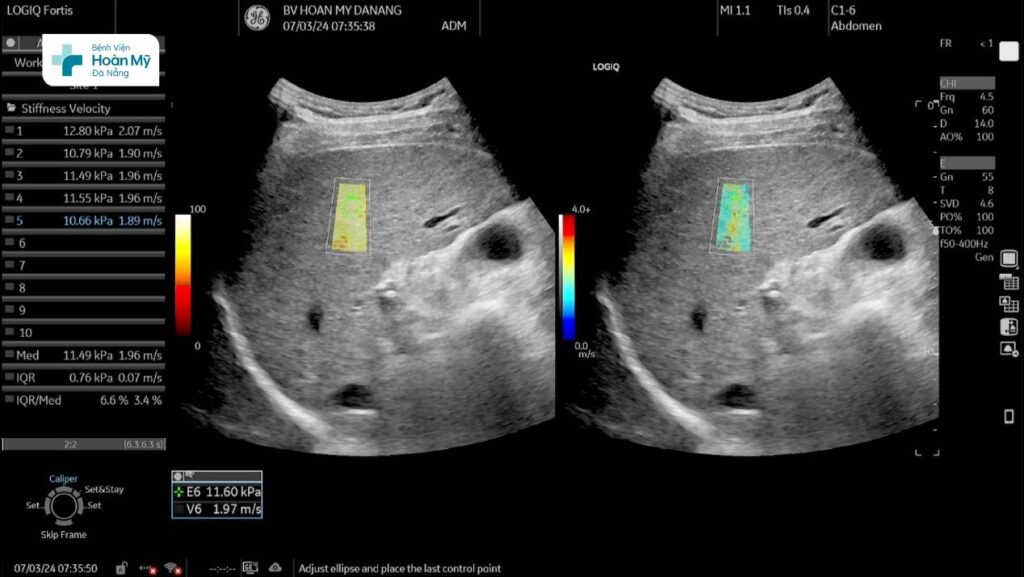
Siêu âm chẩn đoán mức độ xơ hóa gan trên máy siêu âm cao cấp LOGIQ Fortis thế hệ mới
Một ví dụ về ứng dụng của siêu âm đàn hồi mô như sau: Một người bệnh nam, gần đây thấy mệt mỏi nên đến khám tại Bệnh viện Hoàn Mỹ Đà Nẵng, được bác sĩ cho siêu âm bụng, trên siêu âm thường quy thấy cấu trúc gan thô, khi thực hiện siêu âm đàn hồi mô gan đo được độ cứng 11,49 kPa (IQR/Med # 6,6%) tương ứng xơ hóa gan độ 3.
2. Đánh giá nguy cơ ác tính của tổn thương nhân tuyến giáp, u vú…
Các tổn thương ác tính thường có độ cứng cao hơn tổn thương lành tính. Khi làm siêu âm, sự kết hợp giữa đánh giá hình ảnh trên siêu âm thường quy và khảo sát độ cứng của tổn thương trên siêu âm đàn hồi mô góp phần phân nhóm tổn thương theo BIRADS (đối với tổn thương vú) và theo TIRADS (đối với nhân giáp) một cách chính xác hơn, từ đó có thái độ xử trí phù hợp, hạn chế những sinh thiết không cần thiết.

Siêu âm chẩn đoán u ác tính tuyến giáp trên máy siêu âm cao cấp LOGIQ Fortis thế hệ mới
Siêu âm B mode phát hiện nhân mặt trước thùy phải, giảm âm, trục đứng, bờ không đều, dính và lan nhẹ ra khỏi vỏ bao mặt trước, được xếp nhóm TIRADS 5. Trên siêu âm đàn hồi sức căng (strain elastography) thấy nhân cứng, xếp loại Rago Elasticity Score 5, giúp củng cố thêm độ tin cậy về khả năng ác tính của tổn thương.

Siêu âm chẩn đoán tổn thương u vú trên máy siêu âm cao cấp LOGIQ Fortis thế hệ mới
Một ví dụ khác khi ứng dụng siêu âm đàn hồi mô như sau: Bệnh nhân nữ trung niên, đi khám tầm soát, phát hiện khối u vú trái. Trên siêu âm thường quy thấy tính chất khối hình bầu dục, giảm âm nhẹ, bờ tương đối đều, giới hạn rõ, trục song song, tưới máu ít xếp nhóm BIRADS 3. Khi làm siêu âm đàn hồi bán định lượng (strain elastography) có hình ảnh phù hợp Tsukuba elasticity score 2 cũng cố thêm khả năng lành tính cao của tổn thương, nhờ đó người bệnh yên tâm theo dõi mà không cần sinh thiết.
Ứng dụng siêu âm đàn hồi mô tại Bệnh viện Hoàn Mỹ Đà Nẵng
Bệnh viện Hoàn Mỹ Đà Nẵng được trang bị máy siêu âm cao cấp LOGIQ Fortis thế hệ mới nhất hiện nay với những ưu điểm nổi bật:
- Đột phá kép với công nghệ đầu dò thế hệ mới XDClear và công nghệ tạo chùm tia kỹ thuật số cSound giúp tăng tốc độ xử lý, tăng độ phân giải, cho chất lượng hình ảnh vượt trội.
- 2D Shear Wave Elastography - Siêu âm đàn hồi định lượng với công nghệ sóng biến dạng ngang đa điểm giúp chẩn đoán chính xác các mức độ xơ hóa gan khác nhau, đánh giá độ cứng của các khối u nhằm hỗ trợ phân tầng nguy cơ tổn thương chính xác hơn.
- Ultrasound-Guided Attenuation Parameter (UGAP) - Siêu âm định lượng độ nhiễm mỡ của gan, giúp phát hiện bệnh gan nhiễm mỡ giai đoạn sớm, giảm thiểu chi phí điều trị.
- Micro Vascular Imaging (MVI) -Siêu âm vi mạch giúp phát hiện, đánh giá tính chất tưới máu của những tổn thương rất nhỏ.

Liên hệ Hotline: 0236 3509 808 (giờ hành chính) để được tư vấn và đặt lịch hẹn thăm khám, chẩn đoán bệnh lý gan, tuyến giáp, tuyến vú tại Bệnh viện Hoàn Mỹ Đà Nẵng.
ĐĂNG KÝ KHÁM
Rút ngắn thời gian khám nhằm mang đến sự tiện lợi tối đa cho quý khách. [contact-form-7 id="171388" title="Đăng ký khám" html_id="custom-form" html_class="package__item--form"]Chia sẻ