THỦNG DẠ DÀY DO VÔ TÌNH NUỐT PHẢI TĂM XỈA RĂNG
Nội dung bài viết
Không nên chủ quan với các tình huống hóc dị vật (tăm, xương cá…) vì dị vật có thể làm thủng dạ dày, thực quản… thậm chí là dẫn đến các biến chứng gây tử vong. Vừa qua, Bệnh viện Hoàn Mỹ Sài Gòn vừa cấp cứu thành công trường hợp thủng dạ dày tá […]
Không nên chủ quan với các tình huống hóc dị vật (tăm, xương cá…) vì dị vật có thể làm thủng dạ dày, thực quản… thậm chí là dẫn đến các biến chứng gây tử vong.
Vừa qua, Bệnh viện Hoàn Mỹ Sài Gòn vừa cấp cứu thành công trường hợp thủng dạ dày tá tràng do nuốt phải dị vật. Theo chia sẻ của ông Đ.H.Q (43 tuổi, ngụ quận Bình Thạnh), khoảng 3 ngày trước trước khi nhập viện, do vô tình nuốt phải tăm xỉa răng khiến ông bị đau âm ỉ vùng thượng vị. Cơn đau không khỏi và tăng nặng mỗi ngày nên người nhà quyết định đưa ông đến cấp cứu tại bệnh viện Hoàn Mỹ Sài Gòn.

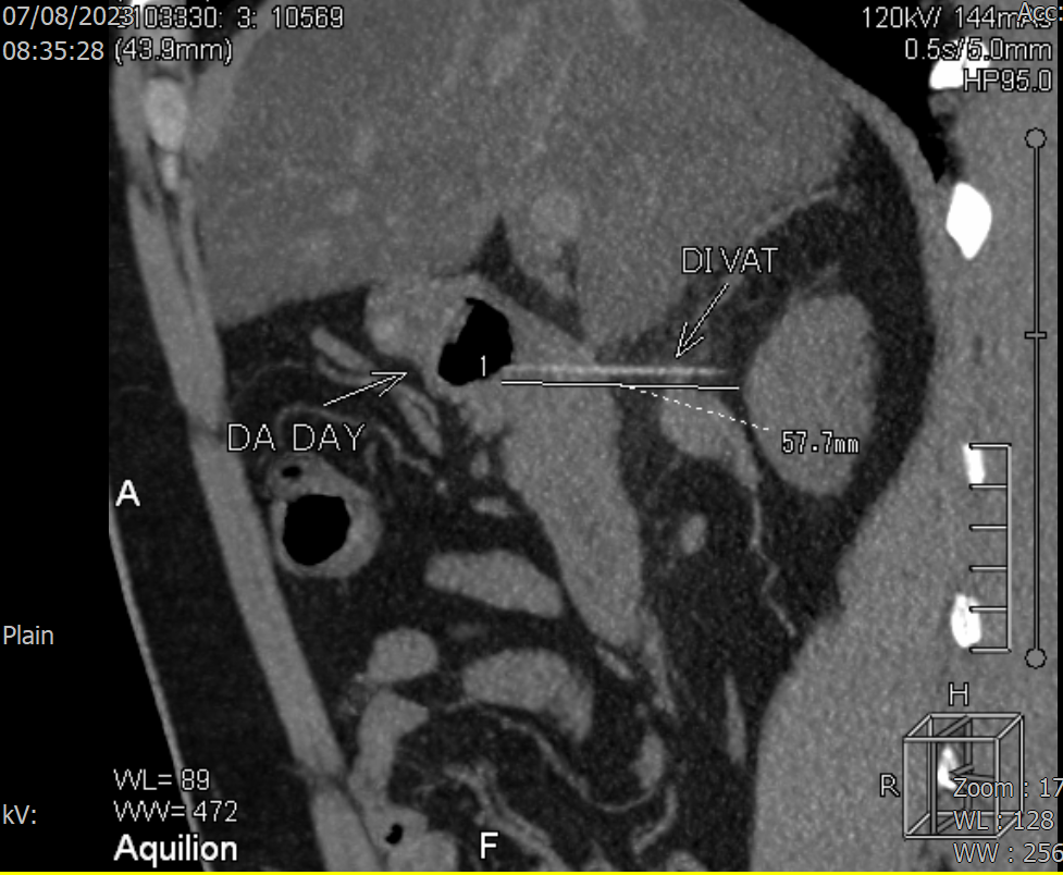
Tại Khoa Cấp cứu, nhận định ông Q. có khả năng bị thủng dạ dày do nuốt phải dị vật, các bác sĩ chỉ định ông Q. thực hiện chụp CT bụng chậu khẩn. Kết quả phát hiện dị vật dạng que thẳng, đường kính 2mm dài 4,5cm xuyên thành mặt sau hành tá tràng vào mô mỡ phúc mạc.
Nhận thấy tình trạng nguy cấp, ê-kíp nội soi ngay lập tức tiến hành nội soi an thần để gắp dị vật ra khỏi dạ dày của người bệnh. Sau khi thực hiện, các triệu chứng đau bụng đã thuyên giảm, ông Q. được tiếp tục theo dõi và xuất viện trong ngày.

Chia sẻ về trường hợp này, ThS.BS Phạm Hoàng Thiên, Khoa Cấp cứu, BV. Hoàn Mỹ Sài Gòn cho biết “Thói quen ngậm tăm khi xỉa răng, hay vừa ngậm tăm vừa nói chuyện, thậm chí là ngủ quên khi vẫn ngậm tăm trong miệng rất dễ xảy ra tình trạng hóc tăm. Tình huống này khá phổ biến và có thể xảy ra ở bất kì độ tuổi nào. Nếu người bệnh chủ quan với tai nạn này, không đến bệnh viện kiểm tra hoặc tự điều trị khi có các triệu chứng đau bụng, dị vật tồn tại trong đường tiêu hóa lâu ngày sẽ gây thủng thực quản, dạ dày – ruột, áp xe ổ bụng, nhiễm trùng… Nhiều trường hợp có thể dẫn tới tử vong”


Cũng theo bác sĩ Thiên, những tháng gần đây, bệnh viện tiếp nhận nhiều trường hợp bị học dị vật, nhiều trường hợp khi bị hóc không đến bệnh viện mà tự chữa trị mẹo khiến dị cật càng đâm sâu gây tổn thương. Do đó, khi bị hóc tăm không nên tự chữa bằng mẹo dân gian, như nuốt cơm, nuốt một số loại quả, lá. Điều này dễ dẫn đến việc tăm có thể đâm sâu hơn vào vị trí đã ghim dẫn đến thủng nội tạng. Bác sĩ cũng khuyến cáo sau khi hóc tăm, người bệnh cần nhanh chóng đến bệnh viện để bác sĩ kiểm tra tình trạng của dị vật, tránh các biến chứng nguy hiểm.
ĐƠN VỊ NỘI SOI TIÊU HÓA BV HOÀN MỸ SÀI GÒN
Đơn vị Nội soi Tiêu hóa của BV Hoàn Mỹ Sài Gòn được trang bị hệ thống nội soi thế hệ mới nhất của Olympus và Pentax, hỗ trợ chẩn đoán chính xác và điều trị an toàn, hiệu quả. Đội ngũ y bác sĩ, điều dưỡng nội soi chuyên nghiệp phối hợp chặt chẽ với các bác sĩ, kỹ thuật viên Gây mê Hồi sức cho phép áp dụng các kỹ thuật chuyên sâu của nội soi như an thần và gây mê.
Kết hợp với bác sĩ chuyên khoa Tiêu hóa, khoa Ung Bướu, nội soi ống tiêu hóa được xem là “tiêu chuẩn vàng” trong tầm soát ung thư sớm và chẩn đoán các bệnh lý về tiêu hóa, bao gồm đường tiêu hóa trên (thực quản, dạ dày, tá tràng) và đường tiêu hóa dưới (đại tràng, trực tràng, hậu môn). Bên cạnh các dịch vụ nội soi tầm soát, nội soi còn giúp giải quyết khẩn cấp các trường hợp xuất huyết tiêu hóa, loét vỡ giãn tĩnh mạch thực quản và dạ dày, lấy dị vật ống tiêu hóa một cách nhanh chóng và kịp thời. Về phương diện điều trị, thông qua nội soi, các bác sĩ chuyên khoa thực hiện thắt tĩnh mạch thực quản, tiêm xơ tĩnh mạch thực quản – dạ dày, nong hẹp tâm vị, cắt polyp tiêu hóa, đặt stent ống tiêu hóa, dẫn lưu nang tụy,… Nội soi mật tụy ngược dòng (endoscopic retrograde cholangiopancreatography - ERCP) chẩn đoán và điều trị các bệnh lý về mật tụy như sỏi mật, ung thư đường mật, ung thư tụy…

Bệnh viện Hoàn Mỹ Sài Gòn đã trang bị hệ thống nội soi thế hệ mới nhất của Olympus có chức năng nhuộm màu quang học và phóng đại tổn thương, giúp nhận biết và phân biệt các mô tổn thương và mô thường, giúp cho việc chẩn đoán nhanh chóng và chính xác, đặc biệt là ung thư đường tiêu hóa ở giai đoạn sớm.
_ ThS.BS Phạm Hoàng Thiên, Khoa Cấp cứu _
---------
BỆNH VIỆN HOÀN MỸ SÀI GÒN
60-60A (Số mới 295) Phan Xích Long, P.1, Q.Phú Nhuận, TP.HCM
Điện thoại: (028) 3990 2468
Chia sẻ