Tầm soát ung thư phổi bằng kỹ thuật chụp CT 256 lát cắt hai mức năng lượng ứng dụng trí tuệ nhân tạo (AI)
Nội dung bài viết
Kỹ thuật chụp CT phổi hiện đại có ứng dụng trí tuệ nhân tạo (AI) giúp phát hiện gần như tất cả các tổn thương lành tính và ác tính có kích thước nhỏ. Đặc biệt là các khối u ác tính ở giai đoạn sớm, giúp điều trị kịp thời cho người bệnh. Theo […]
Kỹ thuật chụp CT phổi hiện đại có ứng dụng trí tuệ nhân tạo (AI) giúp phát hiện gần như tất cả các tổn thương lành tính và ác tính có kích thước nhỏ. Đặc biệt là các khối u ác tính ở giai đoạn sớm, giúp điều trị kịp thời cho người bệnh.
Theo số liệu thống kê tại Việt Nam cho thấy ung thư phổi đang xếp thứ hai sau ung thư gan. Đây cũng là nguyên nhân gây tử vong hàng đầu ở nam giới, cao hơn rất nhiều so với các loại ung thư khác như ung thư vú, tuyến tiền liệt và ung thư đại trực tràng.
Ung thư phổi có thể chữa khỏi nếu được phát hiện sớm và điều trị kịp thời. Vì vậy, việc phát hiện sớm những nốt nhỏ, khu trú ở phổi là điều cần thiết, cơ hội sống sót có thể lên 80%. Nếu khối u lớn, từ 3 cm trở lên và lan đến các cơ quan khác ngoài phổi, tỷ lệ sống sót chỉ còn 5%.

Bệnh viện Hoàn Mỹ Đà Nẵng vừa trang bi hệ thống chụp CT 256 lát cắt hai mức năng lượng ứng dụng trí tuệ nhân tạo (AI) có khả năng phát hiện các nốt phổi nhỏ kích thước cỡ 2 mm. Kết quả được lọc và đọc tự động, bác sĩ sẽ dễ dàng sàng lọc những tổn thương nghi ngờ. Làm gia tăng tính chính xác, hạn chế bỏ sót tổn thương, tiết kiệm thời gian và nâng cao hiệu quả điều trị kịp thời cho người bệnh. Nhờ khả năng chẩn đoán sớm mà các bác sĩ có chiến lược điều trị phù hợp hoặc phẫu thuật cắt bỏ các khối u ác tính khi còn nhỏ, giúp nâng cao cơ hội sống cho người bệnh.

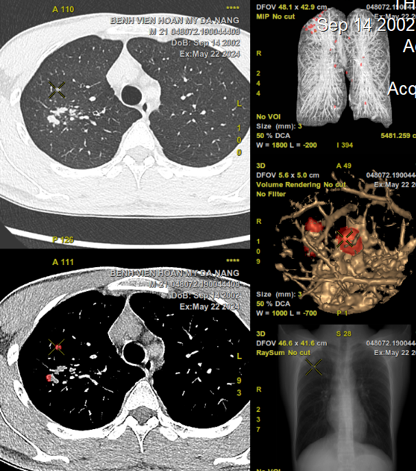
Hình ảnh CT 256 lát cắt phổi hiện đại có ứng dụng trí tuệ nhân tạo (AI) giúp phát hiện gần như tất cả các tổn thương dù có kích thước nhỏ
Bác sĩ Biện Văn Thiện, Trưởng khoa Chẩn đoán Bệnh viện Đa khoa Hoàn Mỹ Đà Nẵng cho biết: Chụp CT phổi hai mức năng lượng có ứng dụng AI là một kĩ thuật hiện đại bậc nhất hiện nay. Đây là kỹ thuật không xâm lấn, không gây đau đớn, sử dụng tia X liều thấp để tầm soát ung thư phổi. Kỹ thuật này giúp các bác sĩ nhìn thấy các tổn thương một cách chính xác, hạn chế bỏ sót. Đối với người bình thường, chụp CT phổi giúp phát hiện những dấu hiệu ung thư phổi như các nốt nhỏ, khối u nhỏ. Đối với những người có nguy cơ cao sẽ được thực hiện kỹ thuật chụp CT phổi liều thấp, kỹ thuật này có thể giúp tìm ra mầm mống của ung thư tốt hơn nhiều so với chụp X-quang phổi thường qui. Chỉ định chụp CT ngực liều thấp để tầm soát định kỳ hàng năm cũng là điều cần thiết. Đặc biệt với máy CT 256 lát cắt hai mức năng lượng ứng dụng AI, đây là thế hệ máy mới nhất, được xem như là hiện đại và hiệu quả bật nhất hiện nay.
Đối tượng nào cần được tầm soát ung thư phổi:
- Người bệnh có tiền sử thuốc lá
- Người từng mắc ung thư phổi và đã điều trị từ 5 năm trở lên
- Gia đình có người bị ung thư phổi hoặc ung thư nào khác khởi phát trước tuổi 60
- Người làm nghề nghiệp có liên quan đến bụi phổi, khói, phóng xạ
- Người mắc ung thư khác hoặc mắc các bệnh phổi tắc nghẽn mãn tính (COPD, lao phổi,…)
Sàng lọc ung thư phổi như thế nào và trong bao lâu?
Sàng lọc ung thư phổi nên được thực hiện định kỳ 1 năm/lần và hiệu quả, an toàn cho người bệnh trên máy CT 256 lát liều thấp.
Bệnh viện Hoàn Mỹ Đà Nẵng đưa vào sử dụng máy chụp cắt lớp vi tính Revolution CT ES 256 lát đến từ hãng GE (Mỹ) hiện đại bậc nhất miền Trung – Tây Nguyên cho khả năng chụp nhanh, chất lượng hình ảnh tối ưu, liều bức xạ thấp giúp chẩn đoán chính xác, tiết kiệm thời gian, an toàn và ít xâm lấn phục vụ tốt hơn cho người bệnh.
Đặt lịch tầm soát ung thư phổi tại Bệnh viện Hoàn Mỹ Đà Nẵng ngay hôm nay qua Hotline: 02363 650 676 – 02363 509 808 (Giờ hành chính)
Chia sẻ