Siêu âm tim là một trong những phương pháp phổ biến dùng để tầm soát bất thường ở tim. Trong chẩn đoán, các bác sĩ dựa vào kết quả này để đánh giá tình trạng sức khoẻ tim mạch. Vì vậy, đối người có bệnh lý về tim mạch, đây là hoạt động kiểm tra không nên bỏ qua.

Siêu âm tim qua thành ngực

Siêu âm tim qua thành ngực (Nguồn: Internet)

Siêu âm tim là gì?

Siêu âm tim là phương pháp thăm khám ít xâm lấn, an toàn cho người bệnh, được sử dụng rộng rãi. Cùng với sự phát triển của khoa học và công nghệ, ngày nay có nhiều phương pháp siêu âm nhằm nâng cao độ chính xác, hiệu quả trong chẩn đoán, tầm soát bệnh lý như: siêu âm qua thành ngực, qua thực quản, Doppler, Doppler mô, siêu âm tim thai, v.v.

Nguyên lý siêu âm

Đây là phương thức để thăm dò hoạt động của tim và các mạch máu. Đầu dò được đặt bên ngoài thành ngực hoặc thành thực quản của người bệnh. Phương pháp này sử dụng sóng âm được phát ra từ máy siêu âm nên không gây xâm lấn.

Cụ thể, phương pháp này dùng sóng âm có tần số trên 20.000 Hezt được phát ra từ đầu dò chuyên biệt, nhằm tái hiện lại các cấu trúc của tim, dòng chảy của dòng máu, các mạch máu lớn để khảo sát, chẩn đoán các bệnh lý tim mạch.

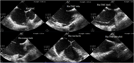
Siêu âm tim

Siêu âm tim qua thành ngực

Siêu âm tim chẩn đoán các bệnh lý tim mạch

Bằng phương pháp này, bác sĩ có thể chẩn đoán, tầm soát các bệnh lý tim mạch:

  • Bệnh lý van tim: hẹp, hở van tim. Khảo sát, đánh giá sự thay đổi cấu trúc các lá van tim, đóng không kín, mở hạn chế, đánh giá hoạt động của van tim nhân tạo trên người bệnh thay van tim.
  • Khảo sát các buồng tim: sự dày thành tim, giãn buồng tim, đánh giá hệ quả của tăng huyết áp hay các bệnh lý làm thay đổi kích thước các buồng tim, huyết khối, u nhầy buồng tim.
  • Bệnh lý cơ tim: khảo sát đánh giá sự vận động các thành tim giúp chẩn đoán trong bệnh lý nhồi máu cơ tim, bệnh cơ tim phì đại, giãn nở.
  • Dị tật tim bẩm sinh: tầm soát bệnh lý tim bẩm sinh từ bào thai đến trưởng thành như thông liên thất, thông liên nhĩ, còn ống động mạch, tứ chứng Fallot.
  • Theo dõi huyết động trên người bệnh hồi sức: đánh giá cung lượng tim, sức co bóp cơ tim, áp lực động mạch phổi, tràn dịch màng ngoài tim, đáp ứng bù dịch.
  • Theo dõi sau can thiệp tim mạch: đánh giá vị trí của dụng cụ trong can thiệp các bệnh lý tim bẩm sinh, cấy máy tạo nhịp.
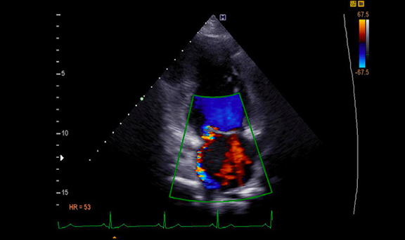
Doppler

Siêu âm Doppler màu qua thành ngực (Nguồn: Internet)

Siêu âm tim qua thực quản trong can thiệp tim bẩm sinh

Siêu âm qua thực quản trong can thiệp tim bẩm sinh (Nguồn: Internet)

Siêu âm tim đánh dấu mô

Siêu âm tim đánh dấu mô (Nguồn: Internet)

Trường hợp nào sẽ được chỉ định thực hiện?

Bác sĩ lâm sàng sẽ chỉ định người bệnh thực hiện siêu âm khi người bệnh có các dấu hiệu, triệu chứng về tim mạch như:

  • Loạn nhịp tim.
  • Tăng huyết áp.
  • Khó thở.
  • Đau ngực.
  • Nghe tim có âm thổi.
  • Dấu hiệu nghi ngờ tim bẩm sinh: tím môi, tay chân, ngón tay dùi trống.

Tư vấn chuyên môn: Ths.BS. Nguyễn Đình Đại Khánh

Bác sĩ chuyên khoa can thiệp tim mạch, Bệnh viện Quốc tế Hoàn Mỹ Đồng Nai.