Nguy hiểm bệnh lý viêm phổi thuỳ ở trẻ em
Nội dung bài viết
Bệnh viện Hoàn Mỹ Cửu Long vừa điều trị thành công bệnh nhi 13 tuổi mắc bệnh viêm phổi thuỳ. Bé M. T. K. B (13 tuổi, địa chỉ tại quận Ô Môn, thành phố Cần Thơ) nhập Bệnh viện Hoàn Mỹ Cửu Long vì sốt, ho kéo dào 6 ngày, ho đàm ngày càng […]
Bệnh viện Hoàn Mỹ Cửu Long vừa điều trị thành công bệnh nhi 13 tuổi mắc bệnh viêm phổi thuỳ.
Bé M. T. K. B (13 tuổi, địa chỉ tại quận Ô Môn, thành phố Cần Thơ) nhập Bệnh viện Hoàn Mỹ Cửu Long vì sốt, ho kéo dào 6 ngày, ho đàm ngày càng tăng, khò khè, thở mệt. Gia đình đã đưa bé điều trị lấy thuốc uống nhưng không giảm.
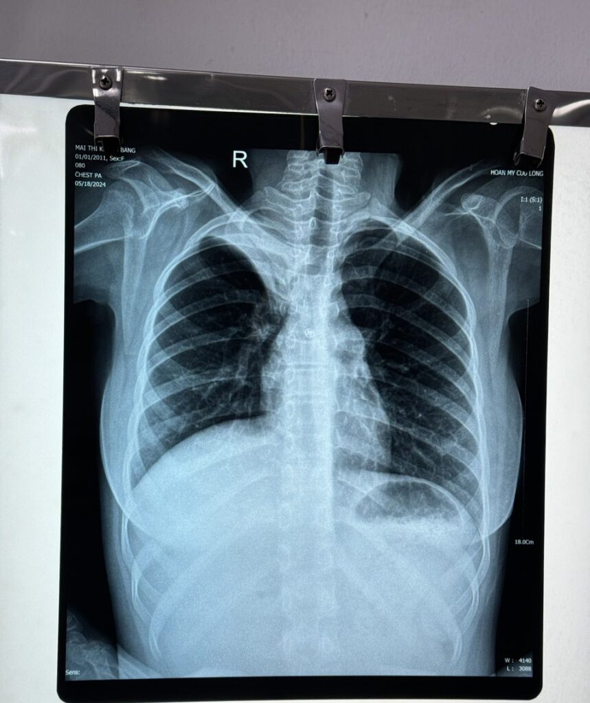
Sau khi thăm khám và thực hiện các cận lâm sàng cần thiết, kết quả X-quang phổi có hình ảnh đám mờ đồng nhất thùy trên phổi phải. Sau đó bé được chụp cắt lớp vi tính MSCT ngực ghi nhận kết quả: xẹp toàn bộ thùy trên phổi phải, kèm thâm nhiễm tạo đám mờ đồng nhất. Các xét nghiệm khác chưa ghi nhận bất thường. Bệnh nhi được chẩn đoán: viêm phổi thùy đỉnh phổi phải.


Hình X-quang trước (trái) và sau 06 ngày điều trị (phải)
Ekip bác sĩ tiến hành hội chẩn, điều trị phối hợp kháng sinh ngay từ đầu, điều trị triệu chứng, trợ sức, tập vật lý trị liệu hô hấp. Sau 10 ngày điều trị, bé dần khỏe hơn, không thở mệt, SpO2 bình thường, ăn uống khá hơn. Khi thăm khám, ghi nhận thông khí đều 2 bên phổi, thông khí đỉnh phổi phải tốt và bé được xuất viện sau đó, uống toa về và tái khám theo hẹn của bác sĩ.
Theo BS. CKII. Phạm Nguyễn Yến Trang, Phó Trưởng Khoa Nhi, bệnh viện Hoàn Mỹ Cửu Long: Viêm phổi thuỳ là một dạng của viêm phổi. Đây là hiện tượng tổn thương viêm nhiễm nhu mô phổi đông đặc gây xẹp phổi. Nguyên nhân gây viêm phổi có thể là vi rút, vi khuẩn, ký sinh trùng, nấm….Đặc biệt đối với trẻ lớn thường do vi khuẩn không điển hình gây bệnh.
Viêm phổi thuỳ là một bệnh phổ biến có thể xảy ra ở bất kể thời điểm nào trong năm. Bệnh lý này nếu không phát hiện và điều trị kịp thời sẽ dẫn đến thông khí ở phổi kém gây suy hô hấp, xẹp phổi. Nếu diễn tiến nặng không đáp ứng điều trị có thể dẫn đến tử vong. Việc nhận biết sớm các triệu chứng sẽ giúp điều trị kịp thời, tăng hiệu quả điều trị và giảm tỉ lệ di chứng sau này. Vì thế phụ huynh cần lưu ý khi trẻ sốt, lạnh run, đau tức ngực, ho khan hay ho kéo đàm, thở mệt, kèm theo cảm giác chán ăn, bú ít, đau ngực và khó thở nặng hơn cần nhanh chóng đưa trẻ đến cơ sở y tế. Trong giai đoạn này, nếu không điều trị đúng cách, bệnh có thể có những biến chứng nặng như suy hô hấp, áp xe phổi, viêm phổi hoại tử, xẹp phổi, tràn mủ màng phổi và có thể gây nhiễm trùng ở các cơ quan khác như viêm màng não, nhiễm trùng huyết...
Để phòng ngừa bệnh, phụ huynh nên xây dựng lối sống lành mạnh như: rèn luyện thể dục thể thao thường xuyên, giữ ấm trong mùa lạnh, tránh khói thuốc lá, những khu vực ô nhiễm, ăn uống đầy đủ chất dinh dưỡng, đeo khẩu trang khi ra ngoài cộng đồng để hạn chế nguy cơ lây nhiễm bệnh đường hô hấp.
Bên cạnh đó, trẻ cần được tiêm ngừa đầy đủ các loại vaccine theo chương trình tiêm chủng mở rộng, tiêm phòng bệnh lý bệnh hô hấp như: viêm phổi do phế cầu, cúm.... Khi trẻ sốt cao, mệt mỏi, ăn uống kém, cần đưa bé ngay đến bệnh viện để thăm khám và điều trị kịp thời.


Chia sẻ