Vừa qua, Bệnh viện Hoàn Mỹ Sài Gòn điều trị thành công trường hợp tắc ruột non của ông N.H.C (57 tuổi, cư ngụ tại Quận 12), được người nhà đưa vào khoa Cấp cứu trong tình trạng nguy kịch.  

Qua khai thác bệnh sử, các bác sĩ cho biết trước đó 1 ngày, ông C. xuất hiện triệu chứng đau bụng quặn từng cơn, kèm theo buồn nôn, nôn ói và không thể trung tiện hay đại tiện. Đến trưa hôm sau, cơn đau trở nên dữ dội, kèm theo tình trạng mệt mỏi kéo dài, tăng nặng. Khi tiếp nhận, các bác sĩ ghi nhận người bệnh tỉnh táo, không sốt, đau bụng quặn dữ dội, chi lạnh ẩm, vã mồ hôi, mạch nhanh (111 lần/phút), huyết áp tụt (60/30 mmHg). Tình trạng bụng chướng vừa, ấn đau, có dấu hiệu đề kháng thành bụng – một trong những biểu hiện nguy hiểm của tắc ruột. 

Chẩn đoán nguy kịch và quyết định phẫu thuật khẩn cấp 

Tắc ruột non, nguy cơ gây nhiễm trùng và tổn thương mô mềm

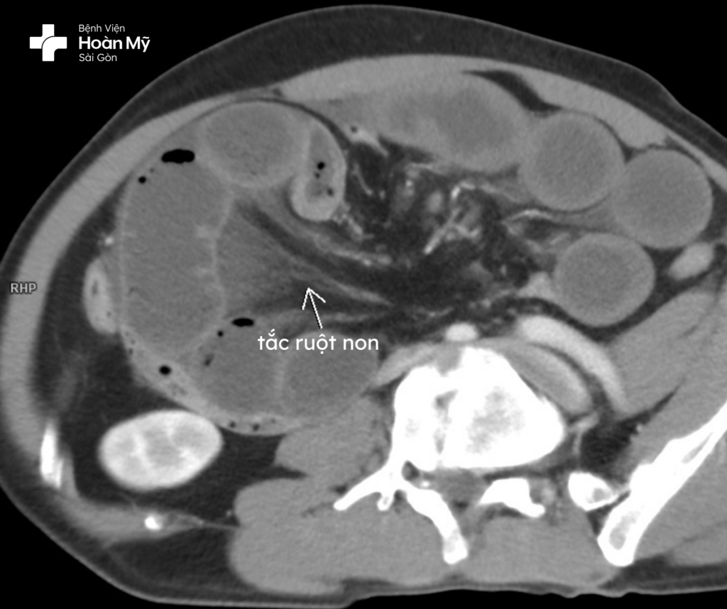
Nhận thấy tình trạng của ông C., các bác sĩ nhanh chóng hồi sức tích cực, chỉ định làm các xét nghiệm cận lâm sàng. Kết quả CT cho thấy tình trạng tắc ruột non cơ học dạng quai kín, nghi ngờ do xoắn ruột. Hình ảnh cản quang cũng cho thấy một đoạn quai ruột non bắt quang kém hơn các quai ruột còn lại, nghi ngờ có hoại tử. Chỉ số bạch cầu tăng cao (13.3 x 10⁹/L), hemoglobin giảm (còn 98 g/L), cho thấy nguy cơ nhiễm trùng và tổn thương mô vô cùng nghiêm trọng. 

Kết quả CT cho thấy tình trạng tắc ruột non cơ học dạng quai kín, nghi ngờ do xoắn ruột 

Nhận định đây là một ca bệnh nguy cấp có thể đe dọa tính mạng, đội ngũ bác sĩ Bệnh viện Hoàn Mỹ Sài Gòn đã nhanh chóng hội chẩn và quyết định phẫu thuật khẩn cấp để cứu sống người bệnh. Ông C. được đưa vào phòng mổ trong tình trạng sốc nhiễm trùng. Quá trình phẫu thuật cho thấy đoạn ruột non bị xoắn và viêm dính nghiêm trọng, dẫn đến hoại tử một đoạn ruột dài 1,1 mét. Bác sĩ đã tiến hành phẫu thuật mở bụng, gỡ dính, tháo xoắn và cắt bỏ đoạn ruột non hoại tử. Sau khi loại bỏ phần ruột bị tổn thương, bác sĩ thực hiện nối lại đoạn ruột còn lành để tái lập lưu thông tiêu hóa. Ca mổ diễn ra thành công, người bệnh được chuyển về phòng hồi sức để theo dõi và điều trị tiếp tục. 

Hồi phục khả quan, xuất viện sau 7 ngày 

Sau phẫu thuật, ông C. được chăm sóc đặc biệt, bao gồm hồi sức tích cực, tập vật lý trị liệu và dinh dưỡng hỗ trợ. Nhờ được can thiệp kịp thời và phương pháp điều trị đúng đắn, tình trạng bệnh nhân đã cải thiện rõ rệt. Sau 7 ngày điều trị, ông C. hồi phục ổn định và xuất viện. 

Tuy nhiên, do bị cắt bỏ một phần ruột non dài, người bệnh có nguy cơ gặp hội chứng ruột ngắn, gây ảnh hưởng đến quá trình hấp thu dinh dưỡng. Do đó, sau khi xuất viện, người bệnh sẽ được theo dõi chặt chẽ, kết hợp với các chuyên gia dinh dưỡng của bệnh viện để có chế độ ăn uống phù hợp. Lịch tái khám được lên kế hoạch sau 5 ngày để đánh giá vết mổ và tình trạng hấp thu dinh dưỡng. 

BS. Định thăm khám cho người bệnh trước khi xuất viện 

Phát hiện và điều trị tắc ruột sớm giúp ngăn ngừa các biến chứng nguy hiểm 

Chia sẻ về trường hợp này, ThS.BS. Nguyễn Văn Định, Khoa Ngoại Tiêu hóa, người trực tiếp thực hiện phẫu thuật cho ông T. nhấn mạnh: "Tắc ruột do xoắn ruột là một tình trạng nguy hiểm, có thể dẫn đến hoại tử ruột nếu không được xử lý kịp thời. Trong những trường hợp nặng, bệnh nhân có thể bị sốc nhiễm trùng, nhiễm độc toàn thân, thậm chí tử vong. Nếu phát hiện sớm và can thiệp kịp thời, khả năng bảo tồn ruột non sẽ cao hơn, giúp giảm thiểu nguy cơ biến chứng hậu phẫu." 

Bác sĩ Định khuyến cáo, người dân cần nhanh chóng đến cơ sở y tế để thăm khám và điều trị kịp thời, không nên chủ quan khi gặp các triệu chứng như: 

  • Đau bụng quặn từng cơn
  • Buồn nôn, nôn ói
  • Bụng chướng, đầy hơi
  • Không trung tiện hoặc đại tiện được

Điều trị tắc ruột tại Bệnh viện Hoàn Mỹ Sài Gòn  

Bệnh viện Hoàn Mỹ Sài Gòn được biết đến là một trong những đơn vị hàng đầu trong điều trị các bệnh lý tiêu hóa, đặc biệt là tắc ruột do xoắn ruột và các biến chứng đường ruột nguy hiểm. Với đội ngũ bác sĩ chuyên môn cao, hệ thống chẩn đoán hình ảnh hiện đại và kỹ thuật phẫu thuật nội soi – mở bụng tiên tiến, bệnh viện đã thực hiện thành công nhiều ca phẫu thuật cứu sống bệnh nhân trong tình trạng nguy kịch. 

  • Hệ thống chẩn đoán hiện đại: Sử dụng chụp CT đa lát cắt (MSCT), siêu âm Doppler màu, xét nghiệm máu chuyên sâu giúp phát hiện nhanh và chính xác tình trạng tắc ruột. 
  • Phẫu thuật cấp cứu nhanh chóng: Khoa Tiêu hóa có đội ngũ bác sĩ phẫu thuật giàu kinh nghiệm, sẵn sàng can thiệp kịp thời, giúp giảm nguy cơ hoại tử ruột và biến chứng nhiễm trùng. 
  • Ứng dụng kỹ thuật mổ tiên tiến: Phẫu thuật nội soi hoặc mổ mở tùy theo mức độ tổn thương, đảm bảo an toàn tối đa cho bệnh nhân. 
  • Chăm sóc hậu phẫu toàn diện: Bệnh nhân được hồi sức tích cực, theo dõi sát sao, kết hợp với chuyên gia dinh dưỡng để tối ưu hóa quá trình hồi phục. 
  • Hỗ trợ chuyên sâu sau xuất viện: Lập kế hoạch theo dõi dinh dưỡng và tái khám định kỳ, giúp bệnh nhân duy trì sức khỏe lâu dài sau điều trị.