Cách xác định số buồng ối và bánh nhau trong siêu âm song thai 3 tháng đầu thai kỳ
Nội dung bài viết
Bạn đang tìm kiếm câu trả lời về cách xác định số buồng ối và bánh nhau trong siêu âm song thai 3 tháng đầu thai kỳ? Đừng lo lắng! Bài viết này sẽ giúp bạn hiểu rõ về quy trình siêu âm song thai và cách nhận biết những chỉ số quan trọng. Với thông tin chi tiết và hướng dẫn cụ thể, hy vọng bạn sẽ tự tin hơn trong việc theo dõi sự phát triển và bảo vệ sức khỏe thai kỳ của mình.

Tầm quan trọng của đa thai
Đa thai nói chung và song thai nói riêng có ảnh hưởng quan trọng trong việc quản lý thai kỳ. Thống kê cho thấy trong đa thai có 14 – 25% thai chậm tăng trưởng, 25% trẻ sinh ra phải nhập đơn vị chăm sóc đặc biệt sau sinh, có nguy cơ bị bại não gấp 4 lần, tỷ lệ tử vong chu sinh gấp 4 và tỷ lệ tử vong trong năm đầu đời gấp 7 lần.
Nguyên nhân làm gia tăng các tỷ lệ này ở đa thai chủ yếu do sinh non, thai chậm tăng trưởng, tăng nguy cơ bất thường cấu trúc và bất thường nhiễm sắc thể. Ngoài ra, đa thai còn làm tăng nguy cơ các biến chứng thai kỳ cho mẹ bao gồm tiền sản giật và đái tháo đường thai kỳ.
Các dạng song thai
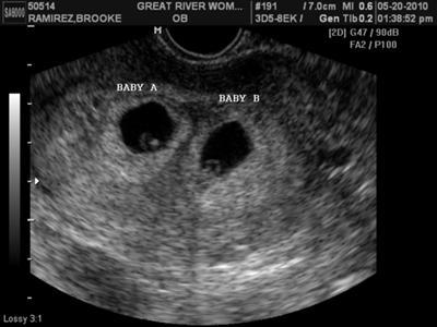
- Song thai dị hợp tử (khác trứng) về mặt lý thuyết đa số sẽ phát triển thành 2 bánh nhau 2 buồng ối.
- Song thai đồng hợp tử (cùng trứng) số lượng bánh nhau và buồng ối phụ thuộc vào thời điểm phân chia của phôi (2 bánh nhau 2 buồng ối, 1 bánh nhau 2 buồng ối, 1 bánh nhau 1 buồng ối).
Giá trị của siêu âm trong đánh giá số bánh nhau, số buồng ối
Việc xác định chính xác số bánh nhau, buồng ối trong song thai là vấn đề cực kỳ quan trọng trong siêu âm trước tuần thai thứ 14, việc này sẽ ảnh hưởng tới kế hoạch quản lý thai kỳ song thai. Trong khi song thai hai bánh nhau được khuyến cáo theo dõi mỗi 4 tuần để phát hiện sự phát triển bất thường, siêu âm song thai một bánh nhau cần được thực hiện mỗi 2 tuần bắt đầu sớm lúc 16 tuần kéo dài đến lúc sinh. Và những song thai một bánh nhau, một buồng ối được khuyến cáo nên được chuyển lên các chuyên gia tuyến trên để quản lý.
Cách xác định số bánh nhau, buồng ối trong siêu âm song thai 3 tháng đầu
- Thai trước 10 tuần tuổi:
| Số phôi | = số thai |
| Số túi thai | = số nhau |
| Số buồng ối | = số buồng ối |
| Số yolksac (túi noãn hoàng) |

2 túi thai = 2 bánh nhau

2 buồng ối (2 yolksac) (1 bánh nhau 2 buồng ối)
- Thai từ 10 – 14 tuần
Dựa vào các dấu hiệu sau để xác định số bánh nhau:
| Dấu hiệu siêu âm | Hai bánh nhau | Một bánh nhau |
| Dấu “Lamda” | + | |
| Dấu chữ “T” | + | |
| Màng ối ngăn giữa 2 thai | > 2 mmcó 4 lớp (yêu cầu sử dụng đầu dò siêu âm có độ phân giải cao) | < 2 mmcó 2 lớp |
| Giới tính thai | Giống/ khác | Giống |
Dấu Lamda trong song thai 2 bánh nhau và dấu chữ T trong song thai 1 bánh nhau.
Dấu hiệu màng ối dày 3 mm, có nhiều lớp trong song thai hai bánh nhau và màng ối mỏng 1.4 mm, không thấy rõ các lớp trong song thai 1 bánh nhau
- Sau 14 tuần: Số buồng ối vẫn còn dễ dàng xác định, nhưng số bánh nhau xác định khó khăn.
Tại Bệnh viện Quốc tế Vinh, việc theo dõi tiến trình phát triển của thai nhi nói chung và xác định số buồng ối, bánh nhau trong siêu âm 3 tháng đầu nói riêng, luôn được các Bác sĩ chú trọng. Khoa Chẩn đoán hình ảnh sử dụng dòng máy siêu âm Samsung màu 4D, Volusion S6, P8 cho chất lượng hình ảnh vượt trội, hỗ trợ hiệu quả trong siêu âm thai nhi.
Thạc sĩ Bác sĩ Trần Nhật Quỳnh – Khoa Chẩn đoán hình ảnh
Chia sẻ