Phối hợp đa chuyên khoa điều trị thành công bệnh nhân sốc nhiễm khuẩn | Bệnh viện Hoàn Mỹ Sài Gòn
Nội dung bài viết
Những năm gần đây, sự phát triển mạnh mẽ về số lượng và chất lượng của hệ thống y tế tư nhân đã mang lại nhiều lợi ích thiết thực trong việc chăm sóc sức khoẻ của người dân Việt Nam. Bệnh viện Hoàn Mỹ Sài Gòn với trang thiết bị hiện đại, đội ngũ nhân lực chuyên môn cao đã tạo niềm tin và sự hài lòng của khách hàng đến khám và chữa bệnh, góp phần nâng cao chất lượng chăm sóc sức khoẻ người Việt.
PHỐI HỢP ĐA CHUYÊN KHOA CỨU SỐNG NGƯỜI BỆNH
Vừa qua, Khoa Hồi Sức Bệnh Viện Hoàn Mỹ Sài Gòn đã điều trị thành công trường hợp của chị P. N. A. (55 tuổi, sống ở Phú Quốc, Tỉnh Kiên Giang) bị sốc nhiễm khuẩn nặng.
Chị A. chia sẻ “2 ngày trước khi nhập viện, chị đi tiểu gắt buốt, đau quặn hông lưng phải từng cơn, cơn đau tăng dần, kèm nôn ói sau đó sốt cao, lạnh run, tụt huyết áp nên được gia đình đưa chị nhập viện cấp cứu tại bệnh viện địa phương sau 01 ngày điều trị chị còn đau hông lưng phải, sốt, đừ nhiều nên có nguyện vọng được chuyển bệnh viện Hoàn Mỹ Sài Gòn điều trị tiếp”
Tại khoa cấp cứu Bệnh viện Hoàn Mỹ Sài Gòn, qua thăm khám ban đầu, các bác sĩ nhanh chóng nhận định đây là trường hợp sốc nhiễm trùng là biến chứng nặng của nhiễm trùng từ đường tiết niệu do sỏi niệu quản phải gây tắc nghẽn biến chứng suy đa cơ quan “tim mạch, thận, hô hấp, huyết học” trên nền bệnh nhân có tiền căn Đái tháo đường tuýp II – Béo phì.

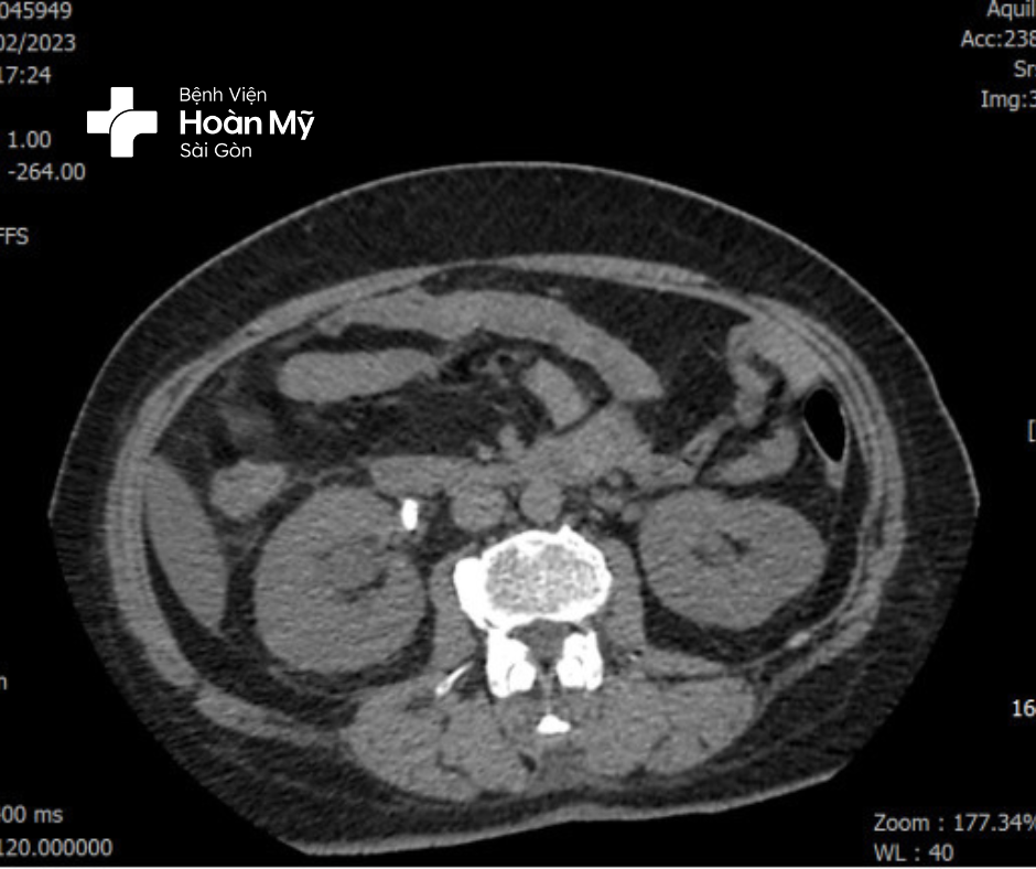
Hình 1: Sỏi niệu quản Phải, thận Phải ứ nước
Người bệnh lập tức được chuyển đến hoa Hồi sức tích cực để điều trị và được tiến hành hội chẩn toàn viện để phẫu thuật giải quyết tình trạng tắc nghẽn do sỏi bằng phương pháp đặt sonde JJ niệu quản phải.
Nhờ sự phối hợp nhịp nhàng, nhanh chóng và hiệu quả của khoa Hồi sức, Nội tổng hợp, Ngoại tiết niệu, Huyết học, Nội tiết người bệnh được các Bác sĩ lên kế hoạch điều trị chi tiết, chặt chẽ, phẫu thuật được thực hiện thành công, tình trạng chị A. cải thiện tốt.

Hình 2: sau đặt sonde JJ
Sau 05 ngày hồi sức tích cực, chị A được chuyển khoa và lên kế hoạch tán sỏi qua da nhằm mục đích loại bỏ hoàn toàn viên sỏi thận Phải gây tắc nghẽn và nhiễm trùng. Sau tán sỏi qua da bệnh nhân hoàn toàn khoẻ mạnh, không còn đau hông lưng phải, được hướng dẫn theo dõi và tái khám để quản lý chặt chẽ tình trạng đái tháo đường, ống thông JJ thận Phải.

Hình 3: Sau tán sỏi qua da, không còn hình ảnh sỏi thận Phải
NIỀM TIN BÁC SĨ HOÀN MỸ SÀI GÒN
Chia sẻ với bác sĩ hồi sức, chị A. tâm sự “chị biết được về chất lượng điều trị cũng như phong cách phục vụ chuyên nghiệp, tận tâm vì sức khỏe của người bệnh, khi nhập cấp cứu tại bệnh viện địa phương và giải thích tình trạng của mình rất nguy kịch, tỉ lệ tử vong rất cao. Chị trình bày nguyện vọng xin lên bệnh viện Hoàn Mỹ Sài Gòn để được điều trị”. Sau khi được điều trị, chị và người nhà rất vui mừng với tình trạng sức khỏe được cải thiện như hiện tại.
BS. CKI Phạm Ngọc Sơn – Khoa Hồi sức, Bệnh viện Hoàn Mỹ Sài Gòn cho hay, nhiễm khuẩn huyết (NKH, hay còn gọi là nhiễm trùng máu) từ đường tiết niệu được xem là nhiễm khuẩn khởi phát từ đường tiết niệu, sau đó vi khuẩn vào dòng máu gây ra những triệu chứng toàn thân. Nhiễm khuẩn huyết từ đường tiết niệu chiếm tới 20 – 30% trường hợp nhiễm khuẩn huyết và có khả năng dẫn đến sốc nhiễm khuẩn, đây là một tình trạng bệnh lý nặng hơn so với nhiễm khuẩn huyết đơn thuần và có tỷ lệ tử vong cao từ 5 đến 40%.
Người bệnh nhiễm khuẩn huyết từ nhiễm khuẩn từ đường tiết niệu phải được chẩn đoán sớm, đặc biệt trong trường hợp nhiễm khuẩn từ đường tiết niệu phức tạp. Ở nhiều nước hiện nay như ở nước ta, một số dòng vi khuẩn như E. Coli, Klebsiella, Serratia sp., P. aeruginosa, Acinetobacterbaumanii, đã đề kháng với quinolones và cephalosporin thế hệ 3, gây khó khăn và là thách thức cho điều trị.
Triệu chứng của nhiễm trùng tiết niệu:
- Thường xuyên muốn đi tiểu
- Cảm giác nóng rát khi đi tiểu
- Đi tiểu thường xuyên, lượng nhỏ
- Nước tiểu đục
- Cảm giác bàng quang đầy, ngay cả sau khi đi tiểu
- Máu trong nước tiểu
- Nước tiểu có mùi hôi
- Đau vùng chậu ở phụ nữ
Các triệu chứng của Nhiễm trùng huyết bao gồm:
- Đau gần thận, hoặc dưới lưng
- Buồn nôn
- Mệt mỏi
- Giảm lượng nước tiểu
- khó thở
- Lú lẫn
- Mạch yếu
- Sốt cao hoặc nhiệt độ thấp
- Đổ mồ hôi
- Thay đổi nhịp tim như nhịp tim nhanh
Quản lý nhiễm trùng huyết từ đường niệu bao gồm bốn khía cạnh chính:
- Chẩn đoán sớm.
- Điều trị kháng sinh đường tĩnh mạch theo kinh nghiệm sớm.
- Xác định và kiểm soát các yếu tố phức tạp kèm theo.
- Các liệu pháp điều trị nhiễm khuẩn huyết đặc biệt.
Phòng ngừa:
- Uống nhiều chất lỏng, đặc biệt là nước – điều này giúp pha loãng nước tiểu của bạn và đảm bảo bạn đi tiểu thường xuyên hơn, cho phép vi khuẩn bị đào thải ra khỏi cơ thể.
- Vệ sinh sạch sẽ sau khi quan hệ tình dục, sau khi đi tiểu và sau khi đi cầu giúp ngăn vi khuẩn chạm vào lối vào niệu đạo.
- Tránh các sản phẩm dành cho phụ nữ gây kích ứng: Sử dụng thuốc xịt khử mùi và các sản phẩm dành cho phụ nữ có thể gây kích ứng niệu đạo.

Hình 4: Bác sĩ và bệnh nhân chuẩn bị tán
BS.CKI. Phạm Ngọc Sơn – Khoa Hồi Sức Tích Cực – Bệnh Viện Hoàn Mỹ Sài Gòn
Chia sẻ