Bệnh Viện Hoàn Mỹ Sài Gòn Cứu Sống Kịp Thời Một Bệnh Nhân Đột Quỵ Cấp
Nội dung bài viết
Nhồi máu cơ tim là một bệnh lý nguy hiểm, nếu không được phát hiện và can thiệp kịp thời sẽ để lại những hậu quả nghiêm trọ...
Nhồi máu cơ tim là một bệnh lý nguy hiểm, nếu không được phát hiện và can thiệp kịp thời sẽ để lại những hậu quả nghiêm trọng, thậm chí là tử vong. Nhiều người vẫn nghĩ nhồi máu cơ tim là hiện tượng một người đột ngột ôm lấy ngực và té ngã. Thực tế là người bệnh nhồi máu cơ tim chỉ có những cơn đau ngực rất nhẹ hoặc chỉ cảm thấy khó chịu ở phần dưới xương ức. Những triệu chứng này có thể chỉ thoáng qua cho đến khi những cơn đau nặng hơn bắt đầu xuất hiện.
Nhồi máu cơ tim là một trong những bệnh lý nguy hiểm, tuy nhiên cơ hội cứu sống người bệnh bằng các phương pháp can thiệp tim mạch hiện đại hiện nay là rất lớn nếu người bệnh và gia đình nhận biết được các dấu hiệu và nhanh chóng đến bệnh viện ở giai đoạn sớm.

Hình ảnh: động mạch chủ trước khi phẩu thuật

Hình ảnh động mạch chủ sau phẩu thuật.
Mới đây, BV Hoàn Mỹ Sài Gòn tiếp nhận trường hợp của ông P.V.A (56 tuổi, ngụ quận Phú Nhuận), được người nhà đưa nhập viện cấp cứu trong tình trạng đau ngực trái dữ dội. Khai thác bệnh sử cho thấy, bệnh nhân vốn là một người khỏe mạnh, chưa từng điều trị bệnh lý mãn tính nào trước đó. Qua thăm khám ban đầu, bác sĩ cấp cứu chẩn đoán bệnh nhân bị nhồi máu cơ tim cấp ST chênh lên thành trước vách giờ thứ nhất Killip I. Đây là một dạng nhồi máu cơ tim với đặc trưng là đoạn ST chênh lênh trên điện tâm đồ.
Trong lúc bác sĩ đang giải thích bệnh với người nhà và ekip chuẩn bị để can thiệp mạch vành cấp cứu thì đột nhiên bệnh nhân lên cơn co giật. Lúc đó hình ảnh monitor đang theo dõi cho thấy tim bệnh nhân lên cơn rung thất, đây là một biến chứng loạn nhịp thường gặp và rất nguy hiểm khi bị nhồi máu cơ tim, nếu không được xử trí kịp thời sẽ dẫn đến nguy cơ tử vong rất cao.
Nhận thấy tình trạng nguy hiểm của ông A, các bác sĩ nhanh chóng thực hiện sốc điện chuyển nhịp, sau 15 phút sốc điện, tim trở về nhịp xoang, huyết áp ổn định, bệnh nhân hồi tỉnh. Các chỉ định cận lâm sàng cần thiết được thực hiện một cách nhanh chóng đồng thời bệnh nhân được chuyển đi can thiệp mạch vành khẩn cấp.
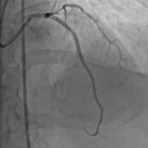
Kết quả chụp mạch vành cho thấy mạch vành của bệnh nhân bị tắc hoàn toàn từ vị trí xuất phát của nhánh liên thất trước động mạch vành trái, trong khi đó nhánh động mạch mũ của động mạch vành trái và nhánh động mạch vành phải vẫn hoạt động bình thường.
Để cứu sống bệnh nhân trong thời gian khẩn cấp, các bác sĩ tim mạch can thiệp đã tiến hành đặt stent trên đoạn mạch vành bị tắc. Stent mạch vành là những khung lưới kim loại nhỏ đặt trong lòng mạch vành nhằm mở rộng vị trí lòng mạch bị hẹp và ngăn không cho nó bị hẹp trở lại. Sau can thiệp bệnh nhân hoàn toàn tỉnh táo, triệu chứng đau ngực đã giảm, các dấu hiệu sinh tồn trở về mức ổn định.

BS.CKI. Phạm Phước Mẫn – bác sĩ trong ekip trực tiếp thực hiện can thiệp cho ông A, cho biết “Sau can thiệp, bệnh nhân vẫn có những cơn rối loạn nhịp tuy nhiên tình trạng nhẹ hơn trước can thiệp và có hiện tượng suy tim sau nhồi máu, đồng nghĩa là sức co bóp của cơ tim giảm chỉ còn khoảng một nửa so với bình thường. Tại khoa tim mạch, bệnh nhân được theo dõi và điều trị tích cực, hồi phục khá tốt và xuất viện sau 7 ngày điều trị. Sau khi xuất viện bệnh nhân cần uống thuốc đầy đủ liên tục, tuân thủ các chế độ điều trị, lời khuyên của bác sĩ và tái khám đúng hẹn.”
Hiện nay, bệnh lý tim mạch là một trong những bệnh lý gây tử vong hàng đầu và có xu hướng ngày càng trẻ hóa. Một lối sống lành mạnh với chế độ ăn giảm mặn, ít ngọt, hạn chếchất béo, rượu bia thuốc lá; ăn nhiều rau xanh, trái cây; tăng cường vận động thể lực ít nhất 150 phút/ tuần sẽ giảm nguy cơ mắc các bệnh tim mạch và đái tháo đường. Bên cạnh đó, việc thăm khám kiểm tra sức khỏe định kỳ sẽ giúp phát hiện các bệnh lý nguy hiểm này từ giai đoạn sớm.
Bác sĩ Mẫn khuyến cáo các bệnh nhân nếu có bất cứ dấu hiệu bất thường mang tính cảnh báo như đau ngực, khó thở, mệt.. nên nhanh chóng đến bệnh viện ngay, đặc biệt là người lớn tuổi, béo phì, người đang điều trị các bệnh tim mạch, huyết áp, đái tháo đường, mỡ máu...
| Can thiệp tái thông mạch vành là phương pháp điều trị chuyên sâu được thực hiện ở các Bệnh viện lớn có khoa tim mạch phát triển, có phòng thông tim can thiệp và phẫu thuật tim. Có những trường hợp kết quả chụp mạch vành của bệnh nhân có nhiều tổn thương phức tạp, hẹp nhiều nhánh mạch vành không phù hợp cho can thiệp thì bệnh nhân sẽ được chuyển qua phẫu thuật tim hở bắc cầu nối động mạch vành (CABG). Về ưu điểm, can thiệp tái thông mạch vành là phương pháp điều trị nhanh chóng và hiệu quả. Thời gian từ lúc bệnh nhân nhập viện cho đến khi bác sĩ đặt thành công stent mạch vành tương đối ngắn, chỉ khoảng 30-45 phút. |
Chia sẻ