Áp xe là gì? Nguyên nhân & Cách chữa trị hiệu quả
Nội dung bài viết
Áp xe có thể xuất hiện ở các vị trí khác nhau trên cơ thể, từ da dưới da đến các cơ quan bên trong. Việc chậm trễ điều trị có thể khiến bệnh nhân đối mặt với những hậu quả nghiêm trọng. Vậy làm thế nào để nhận biết và phòng ngừa áp xe […]
Áp xe có thể xuất hiện ở các vị trí khác nhau trên cơ thể, từ da dưới da đến các cơ quan bên trong. Việc chậm trễ điều trị có thể khiến bệnh nhân đối mặt với những hậu quả nghiêm trọng. Vậy làm thế nào để nhận biết và phòng ngừa áp xe hiệu quả? Trong bài viết này, cùng Hoàn Mỹ tìm hiểu bệnh áp xe là gì, nguyên nhân, triệu chứng và cách điều trị áp xe an toàn nhé.
>>> Xem thêm:
- Sốt xuất huyết: Triệu chứng và cách điều trị tại nhà
- Dấu hiệu nhận biết đậu mùa khỉ? Nguyên nhân, cách điều trị và phòng ngừa
Áp xe là gì?
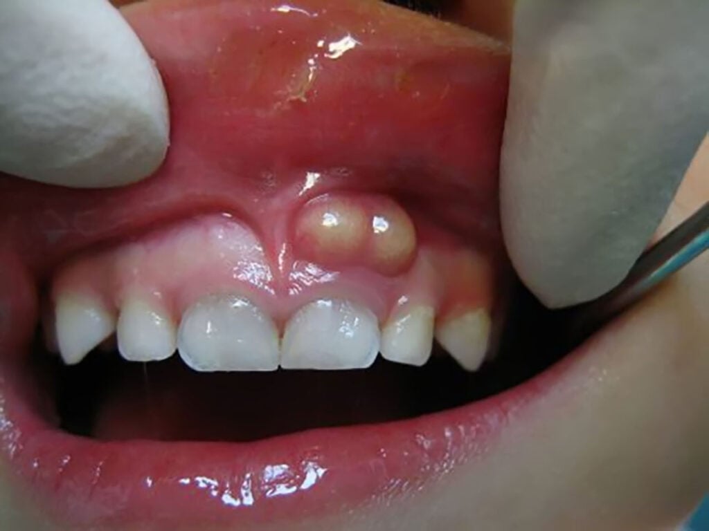
Áp xe là tên gọi để chỉ ra một phần trên da bị viêm nhiễm, tạo nên khối mềm và chứa đầy mủ, đây là kết quả sự hoạt động của vi khuẩn, bạch cầu và các vật thể lạ. Áp xe có thể nhận biết dể dàng bằng cách nhìn vào các dấu hiệu như phần da bị ảnh hưởng nóng, đỏ, sưng lên và đau rát khi tiếp xúc. Tùy thuộc vào nơi áp xe hình thành, người bệnh sẽ có những biểu hiện khác nhau.
Áp xe có thể xuất hiện ở bất kỳ vùng nào trên cơ thể, nhưng thường chia làm 2 nhóm chính:
- Áp xe ở mô dưới da: Các hình thái phổ biến nhất là ổ mụn nhọt và hậu bối. Các khu vực bị áp xe ở mô dưới da thường gặp nhất là nách, âm đạo, vùng xương cùng cụt và quanh răng.
- Áp xe bên trong cơ thể: Có thể sinh sôi ở bất cứ nơi nào trên cơ thể, nhưng đôi khi lại ẩn sâu bên trong các cơ quan như gan, não, thận, vú,…
>>> Xem thêm:
- Bệnh Thủy Đậu: Nguyên nhân, triệu chứng, cách điều trị và phòng ngừa
- Sốt siêu vi: Nguyên nhân, triệu chứng, cách điều trị, phòng ngừa

Nguyên nhân gây bệnh áp xe là gì?
Áp xe chủ yếu do nhiễm trùng gây nên với những nguyên nhân sau:
Vi khuẩn
Vi khuẩn đi vào các mô dưới da và các tuyến bài tiết dẫn đến viêm, kích hoạt các chất trung gian hóa học và tế bào bạch cầu. Tuyến bã và tuyến mồ hôi bị bít kín là điều kiện thuận lợi để vi khuẩn dễ dàng đi vào cơ thể và phát triển.
Hệ miễn dịch đánh lùi vi khuẩn bằng cách tiết ra chất lỏng gọi là mủ. Mủ chứa xác bạch cầu và vi khuẩn. Staphylococcus aureus là vi khuẩn gây áp xe dưới da và màng cứng cột sống phổ biến nhất trên thế giới.
Ký sinh trùng
Ký sinh trùng là những sinh vật thường sống ở các nước đang phát triển hay kém phát triển, bao gồm giun chỉ, sán lá gan, giòi,… Loại này gây ra tình trạng áp xe trong bộ phận cơ thể như áp xe gan do nhiễm từ sán lá gan.
Dấu hiệu nhận biết bệnh áp xe là gì?
Áp xe có những biểu hiện lâm sàng khá dễ nhận biết thông qua quan sát bằng mắt thường, cụ thể:
Nông ở dưới da
Vùng bị áp xe xuất hiện một tổ chức sưng viêm, vùng da phủ lên chỗ áp xe đỏ ửng, khi chạm vào thấy nóng rát, đau nhức, rung lắc do có mủ bên trong. Khi vi khuẩn lan tràn ra các mô bên dưới, người bệnh có thể sốt cao, kiệt sức.
>>> Xem thêm:
- Sốt phát ban: Nguyên nhân và cách điều trị hiệu quả
- Nhiễm ký sinh trùng - 8 Dấu hiệu nhận biết và cách phòng ngừa

Ở bên trong cơ thể
Người bệnh xuất hiện những triệu chứng toàn thân như sốt cao, run rẩy, lạnh toát, khô môi,... Cơ thể kiệt quệ, yếu ớt và gầy guộc. Tùy vào vùng áp xe phát triển trên cơ thể mà người bệnh có những dấu hiệu riêng biệt, chẳng hạn như bệnh nhân áp xe gan có thể bị sốt, run người, đau nhói nơi hạ sườn phải.
Đối tượng nào có nguy cơ bị bệnh áp xe?
Những người có nguy cơ cao bị áp xe là những người có đặc điểm sau:
- Sống trong môi trường điều kiện kém, thiếu vệ sinh. Thường xuyên tiếp xúc với người có nhiễm trùng da.
- Nghiện rượu bia, ma túy.
- Cơ thể gầy gò, suy nhược, miễn dịch yếu.
- Mắc các bệnh như ung thư, tiểu đường, AIDS, hay viêm đại tràng,…
- Bị thương nặng.
- Đang trong quá trình thực hiện hóa trị.
- Dùng corticoid lâu ngày và tiêm thuốc tĩnh mạch.
- Bệnh nhân gặp các bệnh về máu như bạch cầu, hồng cầu bất thường.
Cách chẩn đoán áp xe
Với áp xe mô dưới da, việc khám lâm sàng giúp nhận biết bệnh dễ dàng vì có thể thấy được chỗ áp xe sưng, nóng, đỏ và đau. Người bị áp xe bên trong cơ thể có các biểu hiện lâm sàng như sốt cao, run rẩy, đau vùng có áp xe,... đây chỉ là dấu hiệu nhận biết không chắc chắn. Vì thế, cần làm thêm các xét nghiệm cận lâm sàng để chẩn đoán bệnh, bao gồm:
- Công thức máu: Số bạch cầu cao, chủ yếu là bạch cầu có nhiều nhân trung tính.
- Xét nghiệm cho biết cơ thể đang viêm: máu lắng nhanh, fibrinogen và globulin cao. Đo lường Protein C phản ứng.
(CRP) là xét nghiệm chính xác cao, giúp xác định kịp thời cơ thể có viêm, nhiễm trùng hay không.
- Cấy máu dương tính.
- Siêu âm giúp nhận biết áp xe sâu ở mật, gan, cơ đùi, cơ thắt lưng
- CT scan, MRI cho thấy hình ảnh áp xe ở gan, phổi
- Chọc dò dịch, hút mủ để xét nghiệm
- Sinh thiết tổn thương để biết chính xác loại vi khuẩn gây bệnh.
Cách trị áp xe
Để chữa trị bệnh áp xe, cần xem xét nhiều yếu tố khác nhau nhưng điều quan trọng nhất là xác định loại áp xe là nằm ở mức nào: dưới da, nông hay sâu trong các cơ quan.
Mô bên dưới da
Nếu áp xe nằm ở dưới da, cách chữa là rạch để cho mủ chảy ra. Các nghiên cứu cho thấy không cần thiết phải dùng thuốc kháng sinh kèm theo. Sau khi mủ chảy hết, bác sĩ sẽ băng gạc vào vết rạch để ngăn máu. Các áp xe nông nhỏ có thể tự lành mà không cần can thiệp. Bệnh nhân có thể dùng thuốc giảm đau thông dụng như aspirin, paracetamol nếu cảm thấy đau.
>>> Xem thêm:
- Bệnh đau mắt đỏ có lây không? Cách điều trị đau mắt đỏ hiệu quả
- Bệnh quai bị: Triệu chứng & Cách chữa bệnh nhanh nhất

Ổ áp xe sâu
Nếu áp xe ở sâu trong cơ thể, người bệnh cần được mổ để lấy mủ ra và dùng thuốc kháng sinh. Người bệnh nên dùng thuốc kháng sinh theo hướng dẫn của bác sĩ, càng sớm càng tốt và đủ liều lượng. Khi rạch dẫn lưu mủ, bệnh nhân sẽ được theo dõi bằng các thiết bị chẩn đoán hình ảnh như siêu âm. Việc điều trị các tình trạng như sốt, đau nhức, bổ sung nước, điện giải và chăm sóc sức khỏe cũng nên được thực hiện đồng thời.
Cách phòng ngừa áp xe hiệu quả
Để phòng ngừa bệnh áp xe, bạn có thể tham khảo những biện pháp sau đây:
- Duy trì môi trường sống sạch sẽ và thoáng mát
- Chú ý vệ sinh bản thân hàng ngày
- Ăn uống cân bằng và hợp lý
- Vận động thường xuyên và rèn luyện sức khỏe
- Sống tích cực và nâng cao sức đề kháng
- Rửa tay sạch bằng xà phòng thường xuyên trong ngày, nhất là khi tiếp xúc với người bị bệnh hoặc chất thải của họ.
- Tránh uống rượu quá nhiều và dùng chất gây nghiện
- Chữa trị đúng cách các bệnh nhiễm khuẩn, các bệnh toàn thân như tiểu đường
- Khi thấy có dấu hiệu bất thường thì nên đi khám bác sĩ ngay, không tự ý chữa trị, để tránh biến chứng nghiêm trọng hơn.
>>> Xem thêm:
- Vi khuẩn ăn thịt người là gì? Dấu hiệu, cách phòng ngừa bệnh
- Bệnh sởi: Nguyên nhân, triệu chứng, cách điều trị và phòng ngừa

Một số câu hỏi thường gặp
Tình trạng áp xe thường khiến bệnh nhân lo sợ về độ nguy hiểm của bệnh. Nhiều trường hợp áp xe ở mô dưới da sẽ tự khỏi mà không cần can thiệp biện pháp đặc biệt. Đó là do cơ thể đã tiêu diệt được vi khuẩn trong ổ khu trú nhiễm trùng.
Tuy nhiên, khi cơ thể không đánh bại được vi khuẩn, ổ áp xe sẽ càng lớn lên. Áp xe lớn quá có thể xuyên qua da và hủy hoại các cơ quan xung quanh. Nếu các cơ quan này là thiết yếu cho sự sống thì mức độ nguy hiểm rất cao. Hơn nữa, khối áp xe lớn có thể đột ngột thải vi khuẩn vào máu. Điều này sẽ gây sốc nhiễm khuẩn, có thể dẫn đến tử vong.
Mụn áp xe không thể tự lành được và người bệnh không nên tự chữa trị hay nặn mụn tại nhà. Mụn áp xe là loại mụn viêm nguy hiểm, có thể gây ra những ổ mủ to dưới da. Nếu chủ quan không điều trị sớm, mụn áp xe sẽ ngày càng lan rộng và trở nên nghiêm trọng hơn, gây hại cho sức khỏe và làn da của bạn.
Người bệnh tuyệt đối không nên dùng que nặn mụn để lấy mủ từ mụn áp xe. Điều này rất nguy hiểm vì khi mụn vỡ, vi khuẩn sẽ lây lan trên da. Không những thế, việc này còn có thể khiến mạch máu bị tổn thương và tạo cơ hội cho vi khuẩn có cơ hội sinh sôi, gây viêm nhiễm.
Qua bài viết trên, hy vọng bạn đọc đã hiểu áp xe là gì và những thông tin hữu ích để giúp chữa trị, phòng ngừa bệnh và tránh những ảnh hưởng của áp xe đến cuộc sống hàng ngày. Để cập nhật thêm các cập nhật mới về y học, mời bạn truy cập Tin tức y tế. Ngoài ra, đừng quên liên hệ ngay với chúng tôi qua số HOTLINE hoặc đặt lịch hẹn trực tiếp TẠI ĐÂY để được tư vấn miễn phí tại hệ thống Bệnh viện Hoàn Mỹ trên toàn quốc.
Chia sẻ