Siêu âm là gì? Những thông tin cần biết khi thực hiện siêu âm
Nội dung bài viết
Y học ngày càng phát triển, có nhiều hình thức chẩn đoán mới ra đời, siêu âm cũng là một trong những phương pháp mới hỗ trợ cho việc khám bệnh và chẩn đoán bệnh chính xác hơn. Cùng Hoàn Mỹ tìm hiểu siêu âm là gì? Công dụng, quy trình thực hiện phương pháp này và các loại siêu âm phổ biến hiện nay.
>>> Xem thêm: Các mốc siêu âm thai và những điều mẹ bầu cần biết trong thai kỳ
Siêu âm là gì?
Siêu âm (Ultrasound) là phương pháp dùng để chẩn đoán bệnh bằng nguyên lý sóng âm tần số cao, thông qua sử dụng đầu dò chạm trực tiếp vào cơ thể. Từ đó, đầu dò sẽ ghi lại những hình ảnh trực tiếp trong cơ thể và phản xạ lại bằng các hình ảnh y khoa. Nhờ sự phát triển của thiết bị này mà các bác sĩ có thể thấy các hình ảnh từ bên trong cơ thể một cách rõ ràng mà không cần phải xâm lấn. Từ các hình ảnh trực quan đó, các bác sĩ sẽ chẩn đoán bệnh và đưa ra kết luận về các bệnh lý.

Các loại siêu âm phổ biến hiện nay
Nhờ sự phát triển không ngừng của khoa học kỹ thuật mà nhiều trang thiết bị, máy móc hiện đại ra đời, hỗ trợ cho y học rất nhiều. Trên thị trường hiện nay có rất nhiều loại máy siêu âm chuyên dụng để chẩn đoán nhiều loại bệnh khác nhau như:
Siêu âm 3D
Siêu âm 3D là kỹ thuật y khoa được dùng trong thăm khám thai kỳ và nhiều bệnh lý khác. Hình ảnh từ đầu dò phản xạ lại sẽ cho ra hình ảnh em bé/ các bộ phận bên trong cơ thể một cách rõ nét với không gian 3 chiều.

Siêu âm Doppler
Siêu âm Doppler là một kỹ thuật siêu âm được ứng dụng rộng rãi trong siêu âm thai kỳ và siêu âm tim mạch do có thể đo được dòng chuyển động trong mạch máu. Khi siêu âm Doppler, các bác sĩ có thể phát hiện sớm và chính xác các dị tật bẩm sinh ở thai nhi, cũng như tình trạng phát triển của thai nhi trong bụng mẹ. Đặc biệt, phương pháp này cho ra kết quả chẩn đoán dị tật tim thai. Hiện nay, trên thị trường có hai loại siêu âm Doppler là siêu âm xung và siêu âm Doppler liên tục. Đây là kỹ thuật giúp chẩn đoán an toàn cho cả thai phụ, thai nhi và kể cả những thai phụ ở 3 tháng cuối thai kỳ.

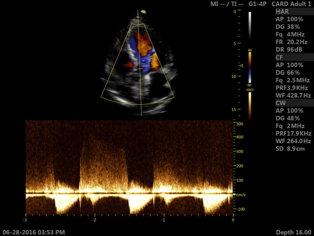
Siêu âm tim
Siêu âm tim là một trong những kỹ thuật sử dụng sóng siêu âm để nghiên cứu về cấu trúc cũng như đưa ra các chẩn đoán của bệnh lý ở tim. Các tín hiệu từ đầu dò sẽ phản chiếu cho thấy rõ sự co bóp của tim đang hoạt động. Ngoài ra, các bác sĩ còn có thể đánh giá về vị trí, tư thế và kích thước buồng tim hiện tại. Từ đó, sẽ phát hiện ra những lỗ khuyết trong các vách ở ngăn tim, cùng các u xơ, dị tật ở ngoài màng tim hoặc bên trong tim. Một số kỹ thuật được ứng dụng rộng rãi hiện nay có thể kế đến như:
- Siêu âm tim kiểu TM.
- Siêu âm tim 2D, 3D, 4D.
- Siêu âm Doppler.

Siêu âm trị liệu
Đây là kỹ thuật được sử dụng trong vật lý trị liệu. Mục đích dùng là để điều trị các tổn thương ở da và mô mềm. Đặc biệt kỹ thuật siêu âm trị liệu sẽ giúp bệnh nhân giảm đau nhức và cơ thể sẽ được hỗ trợ tái tạo các mô tổn thương từ bên trong. Ngoài ra, nhờ công nghệ sử dụng tần số thích hợp cùng tác dụng nhiệt và cơ học tác động trực tiếp lên da, từ đó giúp mô dễ dàng hấp thụ năng lượng từ sóng âm.

Cần chuẩn bị những gì khi siêu âm?
Trước khi thực hiện siêu âm, người bệnh cần tuân theo những hướng dẫn của bác sĩ về chế độ ăn uống và uống thuốc:
- Siêu âm bụng: Phải nhịn ăn từ 8-12 giờ trước khi siêu âm để tránh thức ăn chưa tiêu hóa cản trở sóng âm thanh.
- Khi siêu âm vùng chậu: Phải uống nhiều nước và nhịn tiểu để bàng quang đầy, giúp hình ảnh rõ nét hơn.
Một số lưu ý khi chuẩn bị siêu âm:
- Cần thông báo cho bác sĩ về các loại thuốc đang dùng: Cần cung cấp cho bác sĩ về tất cả các loại thuốc từ thuốc được kê đơn, thuốc tự mua hoặc thực phẩm bổ sung.
- Trường hợp siêu âm cho trẻ em sẽ có những yêu cầu riêng: Cha mẹ cần tham khảo ý kiến của bác sĩ để chuẩn bị tốt nhất.
- Tuân thủ yêu cầu của kỹ thuật viên: Để kết quả được chính xác, cần làm theo những chỉ dẫn của kỹ thuật viên trong quá trình siêu âm.

Quy trình thực hiện siêu âm
Quy trình thực hiện làm kiểm tra bằng phương pháp siêu âm gồm các bước sau:
- Bước 1: Bác sĩ sẽ bôi một loại gel đặc biệt lên da, gel này giúp đầu dò dễ dàng di chuyển trên da, hạn chế không khí chen vào giữa đầu dò và bề mặt da nhằm truyền sóng âm thanh vào cơ thể một cách tốt nhất.
- Bước 2: Đầu dò sẽ được đặt trên vùng cần kiểm tra và di chuyển qua lại để thu được hình ảnh. Trong lúc kiểm tra, người bệnh sẽ không cảm thấy đau hoặc khó chịu khi đầu dò ép vào vùng mô mỏng.
- Bước 3: Thời gian thực hiện kỹ thuật thường dao động từ 15 – 30 phút, tùy thuộc vào vùng được kiểm tra. Sau khi thực hiện xong, người bệnh sẽ được lau sạch gel trên da và chờ kết quả siêu âm.
Kết quả siêu âm sẽ được hiển thị bằng hình ảnh trên màn hình và các bác sĩ sẽ dựa vào đó để chẩn đoán những bệnh lý. Ngoài ra, bác sĩ có thể sẽ yêu cầu người bệnh tái khám theo định kỳ, hoặc thực hiện thêm một số phương pháp chẩn đoán khác như chụp CT, MRI, sinh thiết,… để chẩn đoán chính xác bệnh và đưa ra phương án điều trị phù hợp.

Một số kỹ thuật và thuật ngữ trong siêu âm
Trong y học sẽ có một số kỹ thuật và thuật ngữ về siêu âm cần biết như sau:
- Siêu âm 2D: Đây là phương pháp siêu âm 2 chiều được sử dụng nhiều trong các thủ thuật siêu âm hiện hành.
- Siêu âm 3D: Siêu âm 3 chiều, được sử dụng phổ biến trong việc khám thai, chẩn đoán bệnh tuyến giáp.
- Siêu âm Doppler: Đây là loại kỹ thuật ứng dụng sóng âm một cách liên tục để siêu âm các mạch máu.
- Các loại khác: Ngoài ra, tùy theo các loại bệnh lý khác nhau cũng như mức độ nghiêm trọng mà sẽ có loại siêu âm phù hợp như tổng quát ổ bụng, đầu dò âm đạo hoặc tuyến vú,…
Ưu điểm của siêu âm
Một số ưu điểm của kỹ thuật siêu âm là:
- Giúp bác sĩ thăm khám, chẩn đoán các bệnh: Chẩn đoán một số bệnh lý mang tính nghiêm trọng và liên quan đến bên trong cơ thể không thể quan sát bằng mắt thường như u, viêm, dị tật, gan, mật, thận, ổ bụng, tử cung,…
- Phát sớm các dị tật ở thai nhi (nếu có): Kỹ thuật này sẽ giúp cung cấp hình ảnh rõ ràng về sự phát triển của thai nhi. Đặc biệt với siêu âm 3D, 4D hiện nay, nó có thể phát hiện sớm các dị tật bẩm sinh ở thai nhi nếu có.
- Bệnh sỏi: Đánh giá chính xác vị trí và kích thước của sỏi trong bệnh sỏi thận, sỏi niệu đạo, sỏi bàng quang,…
- An toàn, không đau đớn: Đây là kỹ thuật chẩn đoán bằng hình ảnh an toàn, không gây đau, không gây hại cho người bệnh, có thể lặp lại nhiều lần nếu cần thiết. Thông thường, kỹ thuật siêu âm dùng sóng âm, không dùng tia phóng xạ ion hóa như trong X-quang nên không gây ảnh hưởng đến sức khỏe thai nhi.
- Giá thành hợp lý: Ít tốn kém hơn những kỹ thuật chẩn đoán bằng hình ảnh khác.

Trên đây là các thông về siêu âm. Nhìn chung, đây là một phương pháp được áp dụng rất phổ biến nhằm hỗ trợ chẩn đoán và điều trị các bệnh lý thông qua hình ảnh chính từ các sóng âm. Ngoài ra, nếu muốn biết thêm thông tin chi tiết, đừng quên truy cập vào Tin tức y tế thường xuyên để không bỏ lỡ bất kỳ cập nhật mới nhất nào. Đặt lịch hẹn TẠI ĐÂY hoặc liên hệ trực tiếp vào HOTLINE để nhận tư vấn miễn phí tại Hệ thống Bệnh viện Hoàn Mỹ trên toàn quốc.
Chia sẻ